Lambeau simple dans cas simple
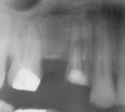
Preop: Racine de 14 fracturée par bridge.
Décision d'extraire.
Le patient désire faire de l'implantologie.
La lyse osseuse n'intéresse uniquement que la partie palatine et l'ancienne zone de furcation de cette prémo.
La corticale vestibulaire est conservée et c'est elle même qui va servir de toile de tente pour conserver l'espace cicatriciel et garder un max d'os.
Après extraction, j'ai fait un lambeau arciforme pédiculé palatin et 2 points de sutures.
La cicatrisation après 11 jours montre une hygiène irréprochable de la part du patient!!
C'est un lambeau simple à faire qui me donne satisfaction dans certains cas précis....



Commentaires
Enregistrer un commentaire
QPV? Qu'en pensez vous?