Vidéo et photo article dentoscope


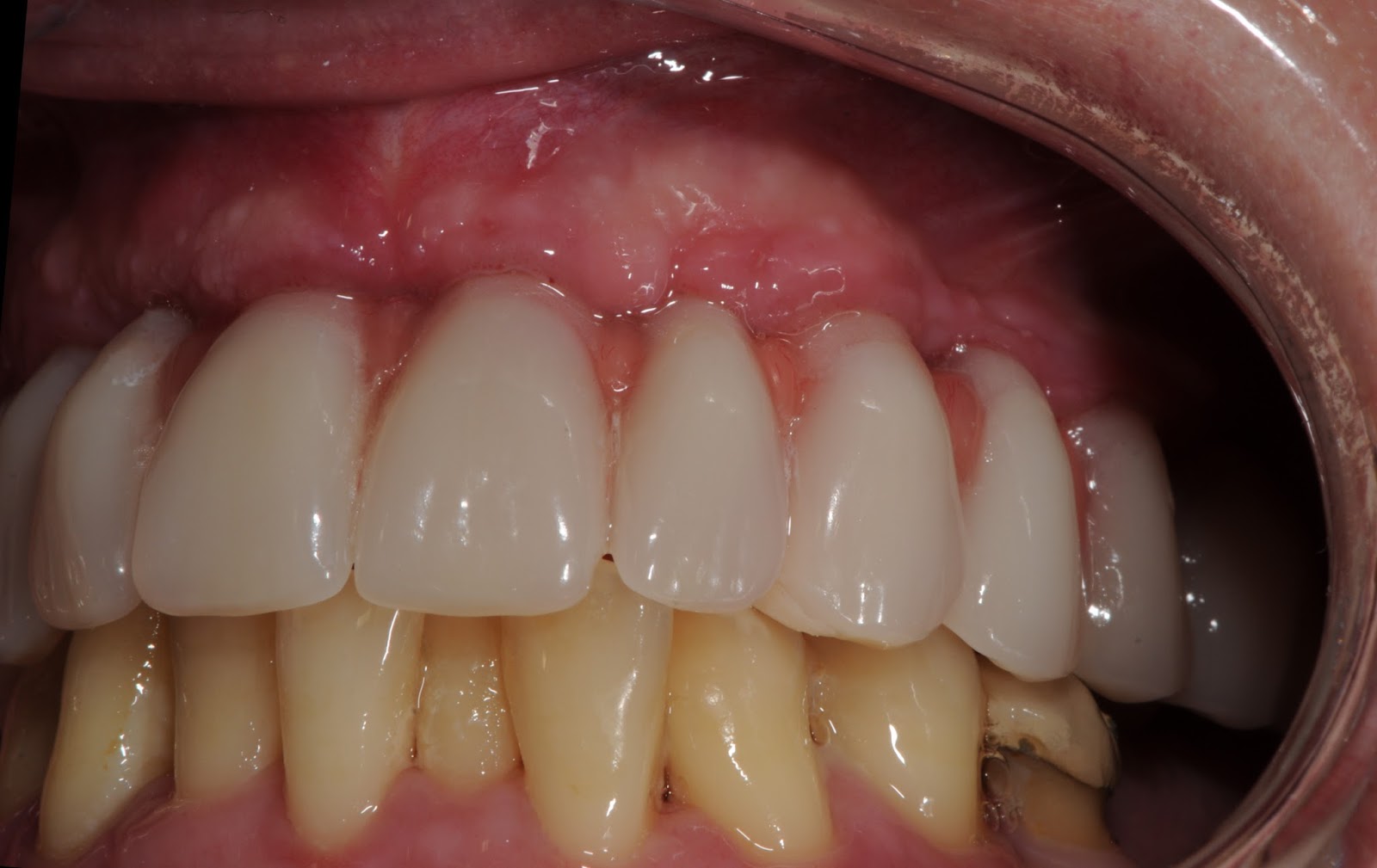
Voici les photos cliniques du cas dans l'article du dentoscope:


 
 

Ainsi que la vidéo de la chirurgie:
 







































Commentaires

Posts les plus consultés de ce blog

NAEVUS BUCCAL (grain de beauté)

Problèmes occlusaux-prothétiques favorisant le développement d'un carcinome épidermoïde: